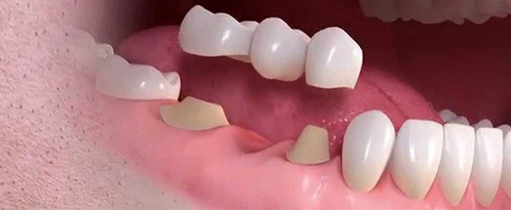
Crown Treatment